
A novel combination of surgery and embolization used to treat subdural hematomas, bleeding between the brain and its protective membrane due to trauma, reduces the risk of follow-up surgeries, according to researchers at Weill Cornell Medicine and University at Buffalo. Embolization is a minimally invasive procedure that blocks specific blood vessels to stop abnormal bleeding.
The finding is based on EMBOLISE, a multi-center, randomized, clinical study that compared chronic subdural hematoma recurrence rates in patients treated with surgery and middle meningeal artery (MMA) embolization versus current standard of care with surgery alone.
The research, published Nov. 20 in the New England Journal of Medicine, found that hematoma recurrence or progression resulting in another surgery occurred in about 4% of patients who underwent MMA embolization plus surgery compared to more than 11% of those who received surgery alone.
“This trial provides evidence that adding MMA embolization should be a new standard of care for one of the most common neurosurgical conditions we see,” said co-lead author and pioneer of MMA embolization, Dr. Jared Knopman, director of Cerebrovascular Surgery and Interventional Neuroradiology and an associate professor of neurological surgery at Weill Cornell Medicine and a neurosurgeon at NewYork-Presbyterian/Weill Cornell Medical Center.
“Already quite common in older adults, by 2030 chronic subdural hematomas are expected to be the most common cranial neurosurgical disease in the world,” added Dr. Jason Davies, associate professor of neurosurgery in the Jacobs School of Medicine and Biomedical Sciences at University at Buffalo and study co-lead.
Need for Better Treatments
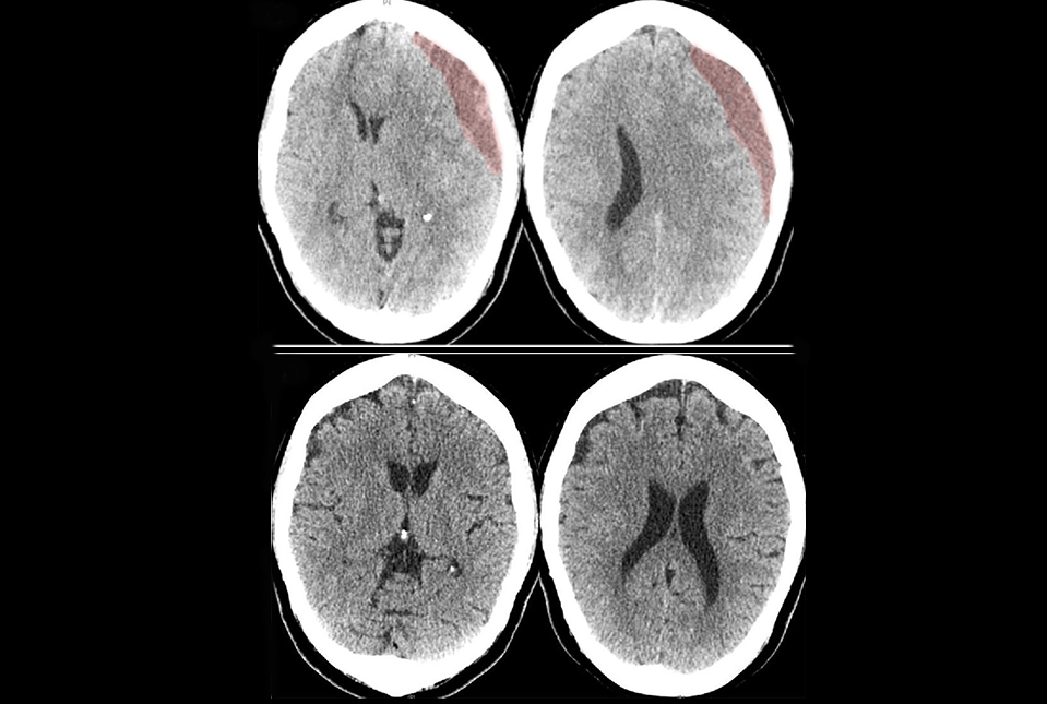
Symptoms of subdural hematoma—including weakness, numbness, headaches, nausea, confusion or dizziness—can come on slowly over days or weeks, after a fall or other head injury. “For the last century, doctors have treated symptomatic subdural hematomas the same way; with surgery to create a small hole in the skull or removing a small section of skull to drain the blood,” Dr. Knopman said.

Dr. Jared Knopman
However, after a hematoma has been surgically drained, it recurs about 15% of the time, requiring another surgery and hospitalization. The hematoma recruits arterial blood vessels that keep it alive. “So even after you remove the blood, it can come back and require more surgery. This is particularly challenging for older patients, who are the most prevalent group suffering from chronic subdural hematomas,” Dr. Knopman added.
Dr. Knopman and Weill Cornell Medicine colleagues developed the MMA embolization procedure and published initial successful results in 2019. The procedure involves threading a small catheter into the middle meningeal artery that runs through the membranes covering the brain. The catheter delivers an embolic or clotting agent to block blood vessels feeding the hematoma. “By reducing the chance of the subdural hematoma from coming back, the need for hospital re-admission and another operation can be avoided,” Dr. Knopman said.
“Considering chronic subdural hematomas are more likely to develop in people aged 60 and older, the need for treatment in our aging population is growing,” Dr. Knopman said. Older adults are more at risk because head trauma from falls and blood thinning medication can contribute to bleeding.
EMBOLISE Study Supports New Standard of Care
Between December 2020 and August 2023, Dr. Knopman and his colleagues studied 400 adults who had chronic subdural hematomas from 39 medical centers, including NewYork-Presbyterian/Weill Cornell Medical Center. Patients, who had a mean age of 72, were randomly assigned to receive MMA embolization plus surgery (197 in the treatment group), or surgery alone (203 in the control group).
The EMBOLISE study was sponsored by Medtronic, which produces Onyx, the blood flow-blocking agent that was used in the treatment group of the study.
Hematoma recurrence or progression leading to another surgery within 90 days of the initial surgery occurred in approximately 4% of the treatment group compared to 11.3% of the control group. Serious adverse events attributed to MMA embolization occurred in 2% of patients who received it.
Dr. Knopman and his colleagues are now determining what role upfront MMA embolization could have in treating patients with chronic subdural hematomas that are not large enough for surgery. “If we embolize these patients early, we may decrease the number who need to be taken to surgery later,” he said.
Since this may be the most common procedure that neurosurgeons perform in the next decade, it could potentially lower health care costs and improve overall health outcomes for the aging patient population.
“In addition to demonstrating the role that the middle meningeal artery plays in the formation and recurrence of subdural hematomas, we have discovered an entirely new facet about the brain that has gone unknown and untreated for decades,” he added.